ClearCorrect - Invisible Braces Bring Visible Results
Invisible Braces Bring Visible Results

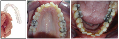
ClearCorrect® utilizes 3-D computer technology with clear, plastic removable "aligners" to move teeth at a rate similar to traditional braces, but without any metal or wires. The "aligners" can be removed to eat and clean your teeth and are generally undetectable when worn. The computer imaging technology can predetermine and develop a treatment plan from the initial position of the patient's teeth to their final desired position. From this a series of custom-made "aligners" are fabricated. Each "aligner" moves teeth incrementally and is worn for about two weeks, then replaced by the next in the series until the final position is achieved.
For years, orthodontists and dentists have used removable appliances for limited treatment. Now ClearCorrect treats a broader range of cases with greater precision. The principal difference is that ClearCorrect not only controls forces, but also controls the timing of the force application. At each stage, only certain teeth are allowed to move, and these movements are determined by the orthodontic treatment plan for that particular stage. This results in an efficient force delivery system.
Most people experience temporary, minor discomfort for a few days at the beginning of each new stage of treatment. This is normal and is typically described as a feeling of pressure. It is a sign that ClearCorrect is working - sequentially moving your teeth to their final destination. This discomfort typically goes away a couple of days after you insert the new "aligner" in the series.
This procedure is especially popular for adults who previously had orthodontic treatment when they were younger and have experienced regression as they've aged. Rather than repeat the inconveniences and discomfort of braces all over again, ClearCorrect provides an appealing alternative.
A common concern is whether or not this treatment is covered by dental insurance. Because dental benefits differ significantly from policy to policy, each patient should review their coverage. However, if a patient has orthodontic coverage, ClearCorrect should be covered to the same extent as conventional braces. When treatment is complete, some patients might need a positioner, or conventional retainer. Other patients might need a clear plastic retainer similar to the ones ClearCorrect makes. Please discuss these possibilities with our office. Every patient is different and outcomes vary.
